If you searched for “teeth implants near me,” you want clear answers fast. This guide explains what dental implants are, who makes a good candidate, the main implant types, what happens during treatment, costs and payment options, and how to choose a qualified provider. It’s written for patients in and around Denver, CO, seeking reliable implant care and practical next steps.
What are Dental Implants?
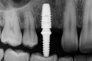
Teeth implants are small titanium posts placed in the jaw to serve as a tooth root. A crown, bridge, or denture is attached to that post to replace missing teeth. Many people search for “teeth implants near me in Denver, CO” because implants feel and function more like natural teeth than removable options.
Who Is a Good Candidate?
Oral health and bone needs
Good candidates have healthy gums and enough jawbone to support an implant. If the bone has shrunk after tooth loss, a dentist may recommend a bone graft or sinus lift before placing an implant. These extra steps add time but improve long-term success.
Medical and lifestyle factors
Chronic conditions like uncontrolled diabetes, certain medications, and heavy smoking can reduce implant success. Your dentist will review your medical history and may coordinate with your doctor to lower risks. Many conditions can be managed, so implants remain an option.
Types of Teeth Implants and Restorations
Options include single implants with a crown, implant-supported bridges for several missing teeth, and full-arch solutions like All-on-4, which replace an entire row of teeth. Each option has different costs, timelines, and maintenance needs. Your dentist will recommend what fits your goals and budget.
What to Expect During the Implant Process
Consultation and imaging
Expect a thorough exam, 3D imaging, and a treatment plan that outlines steps, costs, and timeline. Imaging helps map the bone and nerves so the implant is placed safely.
Surgery, healing, and final restoration
Implant placement is often outpatient. The implant integrates with bone over weeks to months (osseointegration). After healing, an abutment and final crown or bridge are attached. Follow post-op care, avoid smoking, and keep good oral hygiene to support healing.
Cost, Insurance, and Financing for Teeth Implants Near Me in Denver, CO
Costs vary by implant type, number of teeth, any grafting needed, and lab work. Dental insurance may cover part of a crown or exams, but often not the full cost of an implant. Many Denver practices offer in-house financing, third-party plans, or phased treatment to spread costs. Ask for a written estimate and payment options.
How to Find and Evaluate “Teeth Implants Near Me in Denver, CO”
Look for dentists with implant training, membership or affiliation with the American Academy of Implant Dentistry, clear before/after photos, and patient reviews. Advanced tools like digital 3D scans (iTero®) and an in-house lab mean more precise results. Verify surgical backup and long-term follow-up care.
Red Flags to Avoid
Be cautious of unusually low prices, providers who give no written plan or scan, clinics that pressure you to decide the same day, or a lack of post-op support. Proper imaging and lab work cost money; very cheap offers often cut corners.
Why Choose Sloan’s Lake Dental for Teeth Implants
Sloan’s Lake Dental offers patient-focused implant care with an in-house dental lab, iTero® digital scanning, sedation options, and advanced surgical tools. Dr. Sage Pollack is an Associate Fellow of the American Academy of Implant Dentistry, and the team emphasizes conservative, comfortable care with clear communication.
Next Steps: Scheduling a Consultation for Teeth Implants Near Me
Bring a list of medications, past dental records, and clear questions about timeline, costs, and warranty. Ask about imaging, grafting needs, and anesthesia choices. To book, call the office or request a virtual consult—start by searching for “teeth implants near me in Denver, CO” and compare consultations before deciding.



